
右側瓷牙斷裂以及牙齒變色,排列不整齊

近照
中間門牙假牙的牙齦呈暗紅色,發炎的狀態
有關前牙牙冠的置換,Dr. G. Chiche 在1994年的教科書有完整而且清楚的描述1994 G. Chiche and A. Pinault
Esthetics of ant. fixed prosthodontics
Chapter 3 Replacement of deficient crowns p.53
ㄧ. 審美的分析
1. 門牙平面 ,(門牙的長度)
也就是門牙的長度,和臉型與下嘴唇微笑線關係
一個正門牙比較常,比較寬,側門牙短約1.5-2 毫米,犬齒又略長,小臼齒逐漸往上,
形成一個微笑曲線,和下嘴唇的微笑線形成對稱與協調的關係!
Dr. Chiche形容說,前牙的門牙平面,就像海鷗的翅膀!
愈年輕的人弧度愈大,年紀愈大,牙齒愈沒有曲線,平平的,磨損的樣子。

她的右門牙略長, 如果修短一些,和左邊門牙ㄧ樣,就是一個弧度很好的曲線。
2. 門牙與犬齒的角度(排列)
門牙對稱,而且略略像中線傾斜,側門牙傾斜再多一點,不需要太對稱
犬齒前半面更傾斜,但最隆起的表面卻是垂直的

牙齒排列不是很對稱,可以調整一些
3. 門牙往前傾斜的程度
東方女生,門牙往前傾斜的很多,一般稱為第二類咬合,略暴牙或者嘴唇不易閉攏,口呼吸,打都可以看到前牙傾斜角度較大!

右門牙前傾和牙齒切線小於90度
左門牙前傾和牙齒切線約於90度
右門牙略前傾,左門牙正好。
3. 門牙的型態-1
一般標準的前牙長度(歸零的基準長度)是多少?通常是一個範圍,10.5-11.5毫米。
牙醫師可以記住一個歸零的前牙長度,就是 11.2毫米
寬 8.6 ,長11.2,寬長比 77%。從這個數字調整起。
國際知名的兩位大師 ,也有這樣的看法。

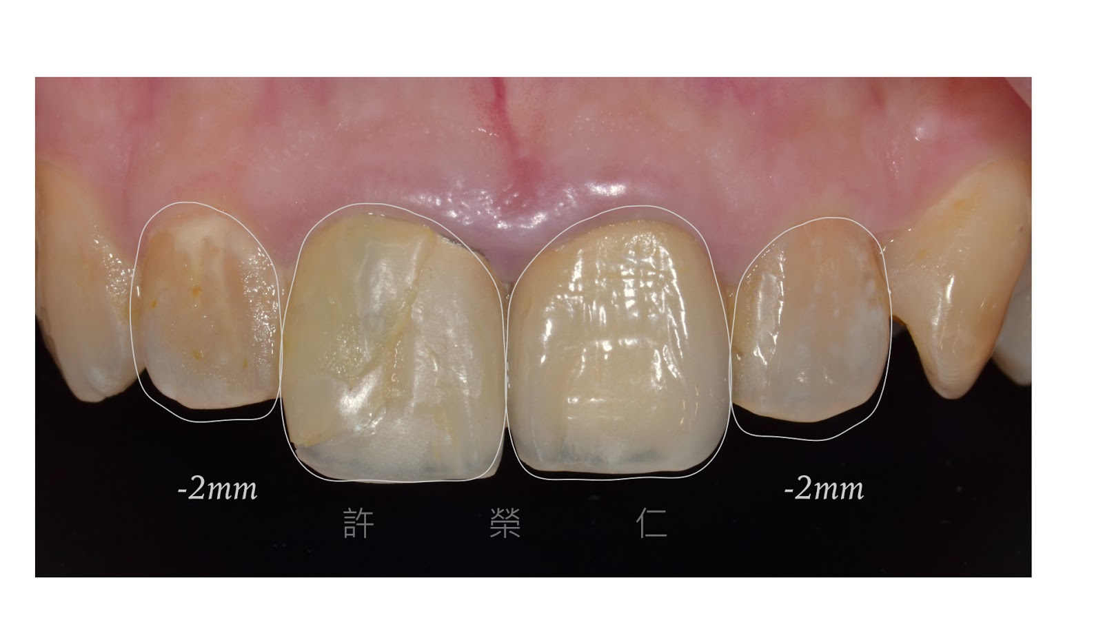
用數位尺量一下,正門牙的寬度 8.5-8.6 毫米,所以長度理想是11.2毫米,因為切端不能再加長了!所以可以往牙根方向做牙冠增長手術,前提是要盡量不要超過牙釉質牙本質的接點!

8.5/11.2= 0.77
牙齒的寬長比,最理想的歸零比例,
再根據現有的寬度,長度去增加或減少
所以白框和牙齦往上,就是預定牙齒的長度
3. 門牙的型態-2
雖然牙齒長寬比決定了,但是牙齒同樣的大小,型態是方形,橢圓,三角形,視覺也有很大不同,方形看起來比較大,三角形比較小。
底下圖示一組蠟形,同樣的比例,可是視覺上很不同。

4. 門牙的型態-3
側門牙可以加入排列了,一般側門牙比門牙短 2mm,這是一個很簡單的原則,而且型態比門牙瘦,比門牙傾斜,比門牙內縮,重要是看起來和門牙不一樣,但又屬於同一個型態分類。

4. 門牙的咬合
門牙如果太暴,擁擠,或者磨耗嚴重,最好是考慮修磨,或矯正治療,提供一個最少傷害的咬合關係,上牙的假牙才能做得好!

左邊這一張,上下牙的關係,下牙大部份被咬在裡面,屬於深咬,這也是門牙不能再加長的限制之一,右邊這一張,下牙有外側輕微磨耗,將來做假牙時,內側要提供磨耗空間與路徑給下牙(上牙內側的型態,就像下牙的停車格)。
開始進行治療,先拆右上門牙,牙齒裡面蛀牙,清乾淨以後,觀察剩下的齒質有多少!幸好我們本來就要做牙冠增長手術,增加牙冠的長度,所以這樣的牙齒,還是有機會可以保留下來。
一般而言,牙根至少要有1.3公分長,牙冠的邊緣要有2毫米長,2毫米厚,才可以支撐假牙!假牙可以做到牙齦內,比牙齦深 0.8-1.5毫米,所以算了一下,這隻牙根,至少還有3毫米厚度也很足夠。如果牙齒很薄,剩餘齒質又少於 2毫米,還是考慮拔牙植牙比較好!

使用排齦線,把牙齦推開,修出裝假牙的支台邊緣。
在高倍手術顯微鏡,或放大鏡的幫助下,可以把邊緣修得很完整,舌側的堅壯邊緣,提供假牙內側密合和固位的設計。

右門牙的牙齦邊緣

左門牙的牙齦邊緣

門牙的舌側牙齦邊緣,未來下牙的停車格。
修好了支台齒型態後,要製作臨時假牙,臨時假牙的材料,一般使用PMMA,壓克力聚合樹脂。也可以使用 CAD/CAM 製作的臨時假牙,也可以使用複合樹脂,不管使用什麼材料,
有三件事很重要:
1. 邊緣密合
2.臨時假牙的牙齦下的外型光滑,厚度可以支撐牙齦,恢復牙齦完美的健康
3 符合審美觀,按照原來蠟型的設計型態,所製作出的外型與咬合。

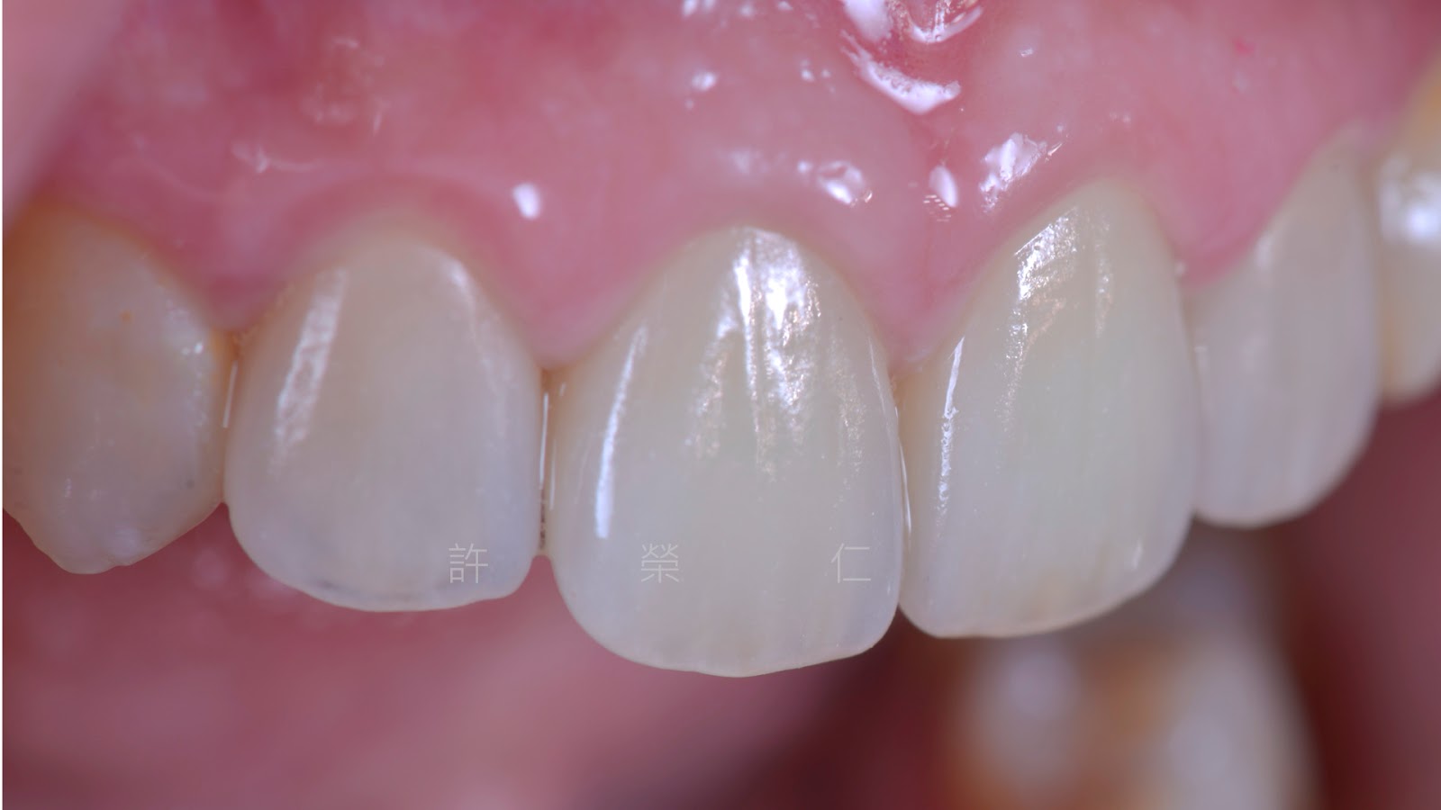
從側面可以看到臨時假牙,表面光滑,邊緣密合,提供很好的牙齦,牙齦呈現健康的型態。牙齦有很好的癒合,準備進行牙冠增長手術。
既然要做牙冠增長手術,為什麼還要這麼麻煩?增加很多的工作。
假牙的牙齦要恢復完全的健康並不是一件容易的事,該做的都做到了,才可能讓牙齦恢復漂亮的緊實的樣子。牙冠增長手術的步驟中,要決定修多少牙齦,修多少齒槽骨,都要根據健康牙齦以及健康牙齦下的牙周囊袋來判斷,手術前的牙齦愈健康,手術就愈成功。
牙冠增長手術,手術後等至少六個月,等待癒合。


貼瓷和美白
如果要改變牙齒的型態和顏色,貼瓷是比較好的選擇,尤其牙齒又有比較大的蛀牙,通常貼瓷是第一選擇。
貼瓷是使用二矽酸鋰的瓷材或者傳統的長石瓷材,用灌注,燒結或者 CAD/CAM所製成。
最花時間,最美的,是使用傳統瓷材,使用耐火包埋土,或者鋁箔當基底,逐漸堆築,一層層的瓷粉,內染,透明層從瓷爐燒成。
或者刻蠟形,包埋脫蠟,將二矽酸鋰的瓷材加熱,加壓灌注而成,之後可以在堆築傳統長石專用瓷粉去創造層次感與顏色,或者外染,兼具審美與堅固性,這是最普遍的做法!
直接用CAD/CAM製作,再去外染,優點是快,缺點是比較缺乏層次與透明度,看起來比較不自然!當然,隨著技術的進步,這種做法的審美效果也愈來愈好。
哪一種做法最好,見仁見智!
美白
全口居家漂白的漂白藥劑主要為 10%-21%的碳醯氨過 氧化物,作用時會分解成尿素及 3%-5%的過氧化氫溶液,經由過氧化氫溶液的氧化還原 作用,可使牙齒牙本質小管內深色素的碳環結構破壞或轉變,成為淺色素的鏈狀結構。
全口居家漂白則是在 1989 年開始在臨床上使用,經過牙醫師的診查與監控下,教導病患每日自行以漂白藥劑置入個人牙托(individual tray)來進行牙齒美白。因為所 使用之漂白藥劑碳醯氨過氧化物(carbamide perioxide)藥劑濃度比較低,其對牙齦, 牙齒與口腔軟硬組織的傷害比較少,但相對所須漂白時間亦較長,病患的配合與生活習慣是影響治療的非常重要的關鍵。
因為犬齒牙齒結構完整,我想先嘗試美白,如果效果可以,就不用貼瓷!
左右側門牙貼瓷,牙齒表面大約修0.3-0.5毫米,盡量保持牙釉質的完整!
沒有蛀牙的地方,例如左邊側門牙的遠心,如果不需要關縫隙,也沒有大的蛀牙或變色區,就可以修少一點,近心要包含蛀牙與改變和門牙接觸區的型態,就要修內側!

貼瓷與牙冠的配色
兩邊側門牙貼瓷,犬齒美白完成,等顏色穩定後,再製作兩顆門牙牙冠,在這個期間,重新製作一套臨時假牙,去符合牙冠增長術後的牙齦與牙齒的新關係,新的牙齒長度與型態,讓病人試戴,檢視咬合,如果可以,按照這個臨時牙的設計,完成最終的全瓷冠。
第二副臨時假牙與牙齦恢復健康的狀態。


牙齦健康,型態穩定,取模就可以取得很清楚,牙技師按照臨時假牙的型態,製作內冠,依層次堆瓷創造出自然牙的透明與光影層次。
型態是一切的基礎,每一個微層次所放置的瓷粉,都有一定厚度,亮度,透明與顏色,如果型態不對,咬合不對,修改太多,就沒辦法表現瓷才完整的效果!
完成的門牙牙冠,兩邊的貼瓷與犬齒美白。















